HEA WOON RO
Verified Badge
Indique que l’utilisateur a fourni des informations exactes et respecte les normes de vérification d'identité de la plateforme.
Quick Communicator Badge
Reconnaît ceux qui sont rapides dans leur communication avec les clients.Professional Summary
Dental Technician with 25 years of experience and national certification. Completed over 10,000 prosthetic cases with a focus on precision, quality, and client satisfaction. Eager to contribute expertise to support your laboratory’s success. First single-unit case offered free of charge.
Je suis:
Technicien dentaire
Langue de communication:
Anglais
Formation Académique / Professionnelle:
Bachelor of Science in Dental Technology, Shinhan University, 1999
Expérience Professionnelle:
+ 10 Ans
Software utilisé:
3 Shape
Exocad
HyperDENT
Portfolios
Exocad design
-
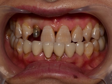
Implant crown
Everything went well. Thanks
Followers
2Following
115 annonces en ligne
Crown & Implant crown
7 $
/ unité
Crown & Implant crown
7 $
/ unité
Full crown
6 $
/ unité
Implant crown
(5)
7 $
/ unité
Inlay & onlay
6 $
/ unité
Crown bridge
6 $
/ unité
Implant crown full arch
90 $
/ Cambre
Full crown
6 $
/ unité
Crown Bridge
6 $
/ unité
Full crown bridge
6 $
/ unité
venners
7 $
/ unité
Digital wax up
5 $
/ unité
Crown Bridge
6 $
/ unité
Implant crown bridge
7 $
/ unité
Crown bridge
6 $
/ unité
