HEA WOON RO
Verified Badge
Indicates that the user has provided accurate information and meets the platform’s identity verification standards.
Quick Communicator Badge
Recognizes who is prompt in their communication with clients.Professional Summary
Dental Technician with 25 years of experience and national certification. Completed over 10,000 prosthetic cases with a focus on precision, quality, and client satisfaction. Eager to contribute expertise to support your laboratory’s success. First single-unit case offered free of charge.
I am:
Dental Technician
Communication Language:
English
Academic / Professional Training:
Bachelor of Science in Dental Technology, Shinhan University, 1999
Professional Experience:
+ 10 Years
Software used:
3 Shape
Exocad
HyperDENT
Portfolios
Exocad design
-
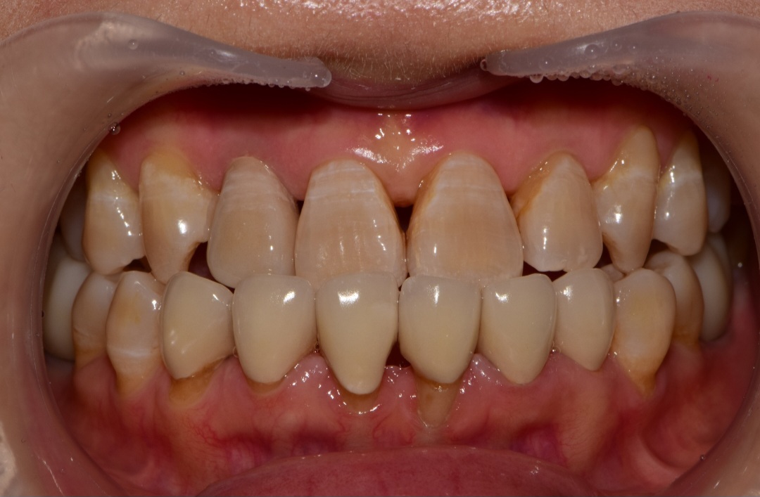
Implant crown
Everything went well. Thanks
Followers
2Following
115 open listings
Crown & Implant crown
$7
/ unit
Crown & Implant crown
$7
/ unit
Full crown
$6
/ unit
Implant crown
(5)
$7
/ unit
Inlay & onlay
$6
/ unit
Crown bridge
$6
/ unit
Implant crown full arch
$90
/ Arch
Full crown
$6
/ unit
Crown Bridge
$6
/ unit
Full crown bridge
$6
/ unit
venners
$7
/ unit
Digital wax up
$5
/ unit
Crown Bridge
$6
/ unit
Implant crown bridge
$7
/ unit
Crown bridge
$6
/ unit
