Timur
Verified Badge
Indicates that the user has provided accurate information and meets the platform’s identity verification standards.
High Rated Badge
Awarded to who maintains a consistent 5-star rating across their completed cases.Quick Communicator Badge
Recognizes who is prompt in their communication with clients.Skilled and detail-oriented Dental Technician with over 5 years of experience in CAD/CAM digital design, specializing in Exocad and 3Shape. Proficient in creating precise and aesthetic crowns, bridges, and implant-based restorations. Experienced in remote collaboration with dental laboratories and clinics across Europe.
Strong understanding of dental anatomy, occlusion, and material science. Committed to accuracy, aesthetics, and high-quality digital workflow in modern prosthetics production.
I am:
Dental Technician
Communication Language:
English
Academic / Professional Training:
Stavropol State Medical College — Graduated 2014
Professional Experience:
8 - 10 Years
Skills:
Dental CAD Design
Digital Smile Planning
Removables CAD Design
Software used:
Blender for Dental
3 Shape
Exocad
Portfolios
Full-Arch Wax-Ups – Upper and Lower Jaws
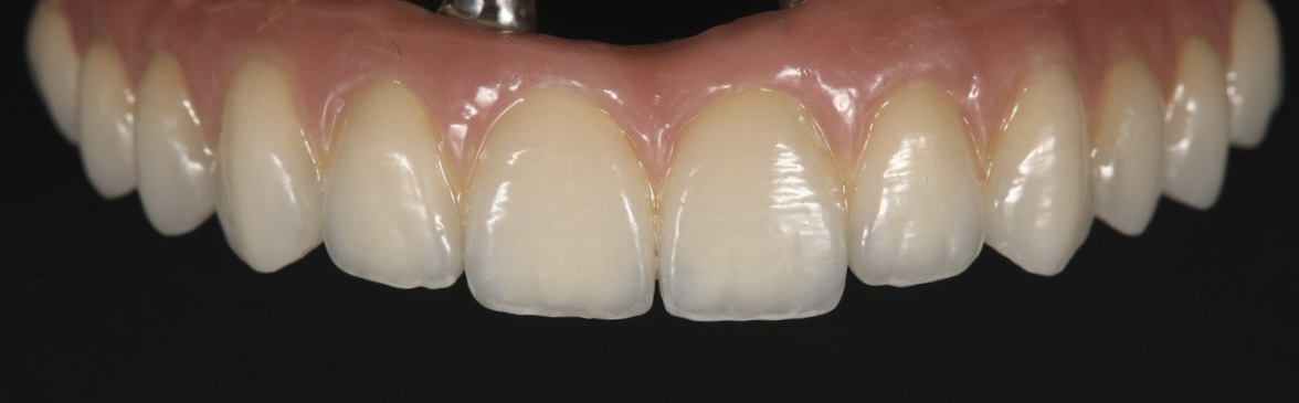
12 Full-Anatomic Upper Jaw Restorations
-
Implant-Supported Crowns & Bridges
Everything was Great
-
Veneers
Good!!
-
Implant-Supported Crowns & Bridges
Good designs!
-
Implant-Supported Crowns & Bridges
Timur did a timely and lovely job. Thank you
-
Implant-Supported Crowns & Bridges
Timur did a great same day design and saved my day, thanks
Followers
1Following
24 open listings
Digital Wax-Ups
(5)
$5
/ unit
Veneers
(5)
$5
/ unit
Onlays & Inlays
$5
/ unit
Implant-Supported Crowns & Bridges
(5)
$5
/ unit
