mostafa shaltoot
Soy:
Dentista
Lenguaje de comunicación:
Inglés
Arabica
Formación Académica / Profesional:
phd in fixed prosthodontics
Experiencia Profesional:
+ 10 Años
Habilidades:
Dental CAD Design
Digital Smile Planning
Software utilizado:
Exocad
Portfolios
5 anteriors
right central
right anterior region bridge
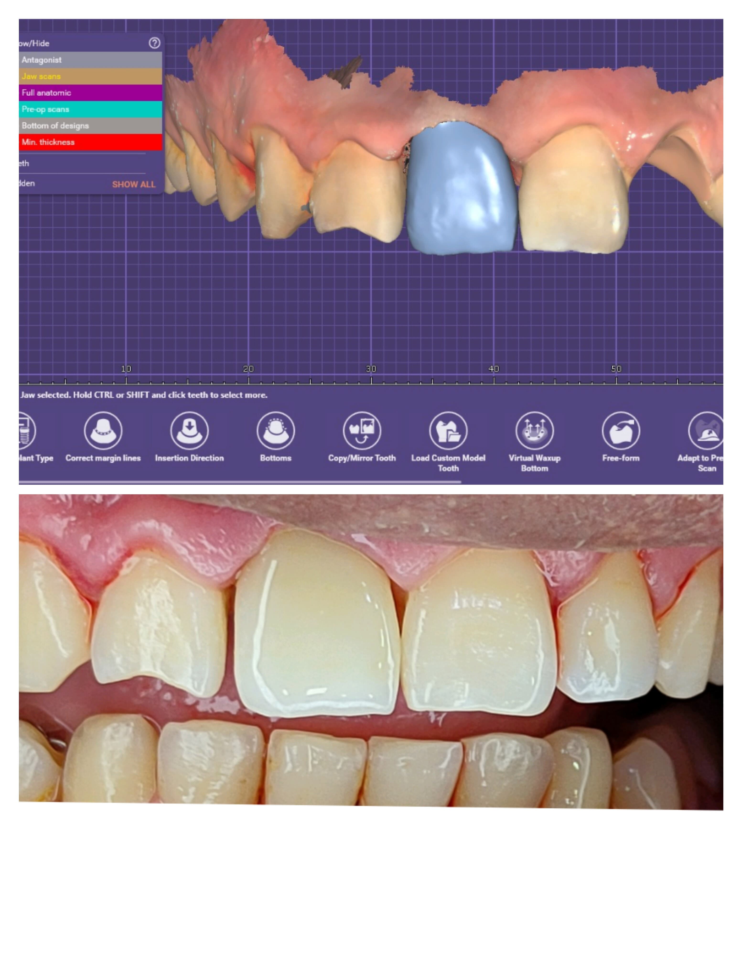
right central incisor
bridge for right posterior region
